SMILE GALLERY

Slide
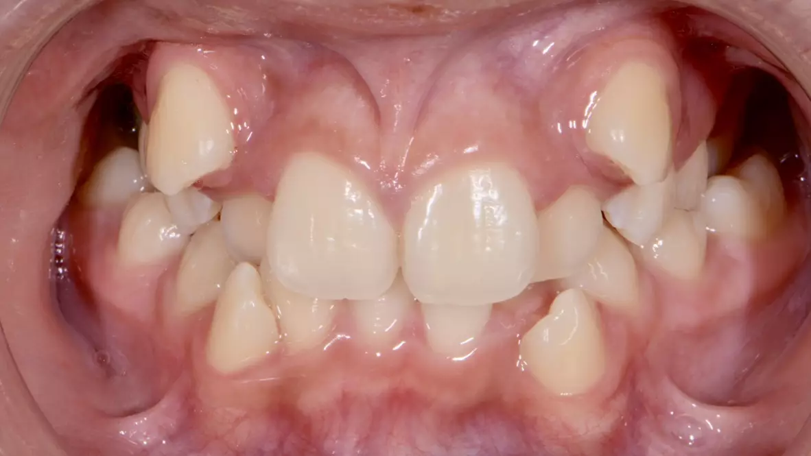
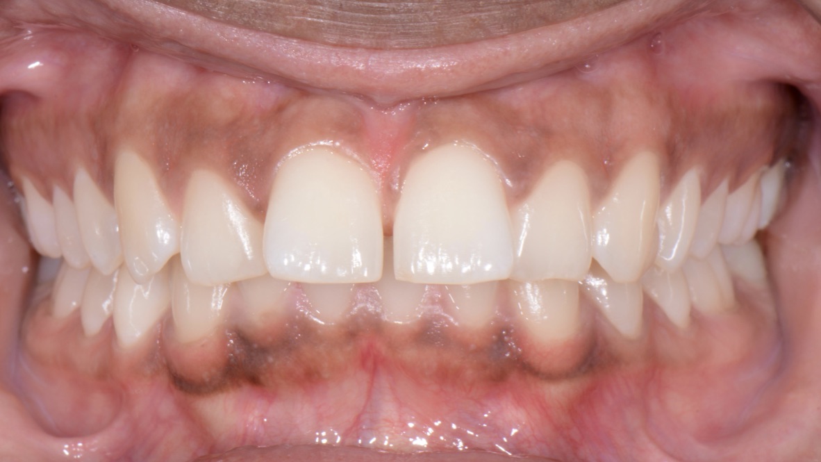
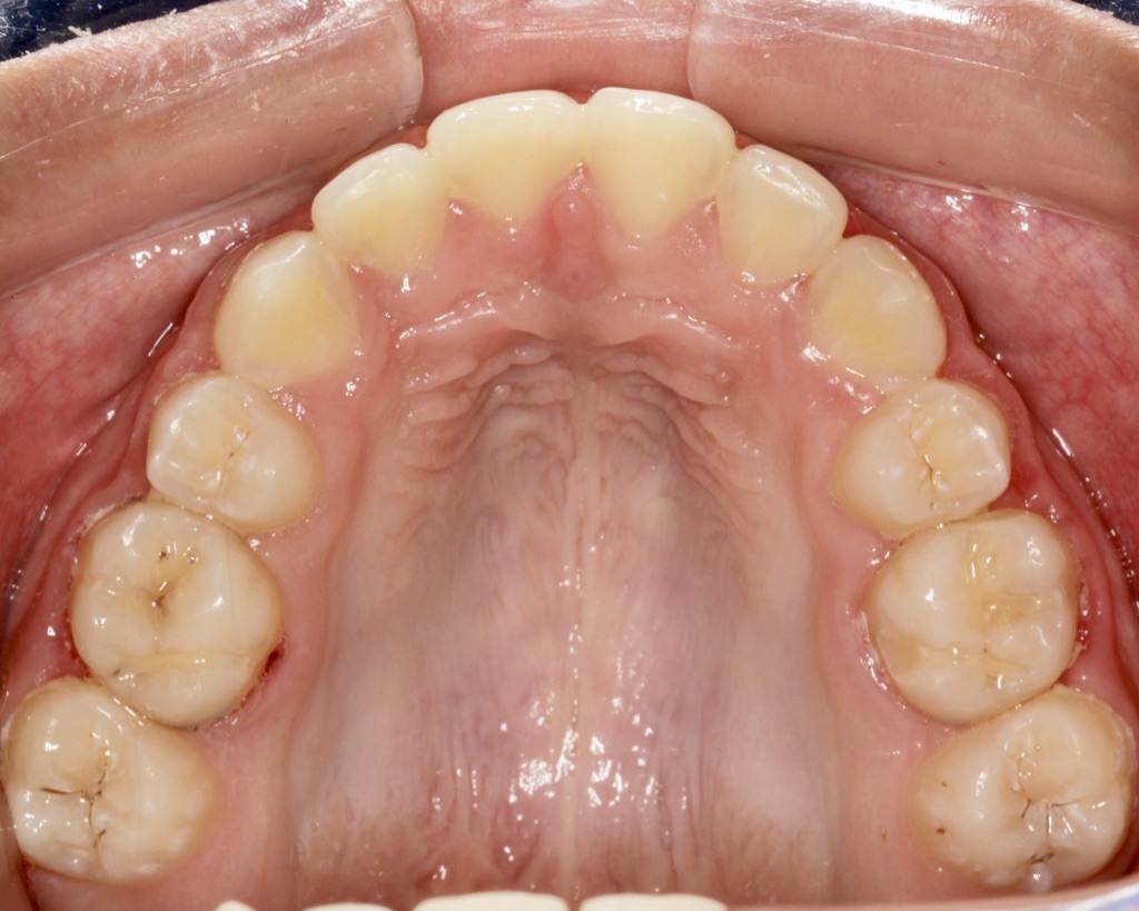
Before
Before
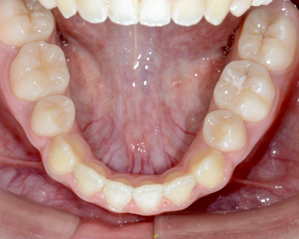
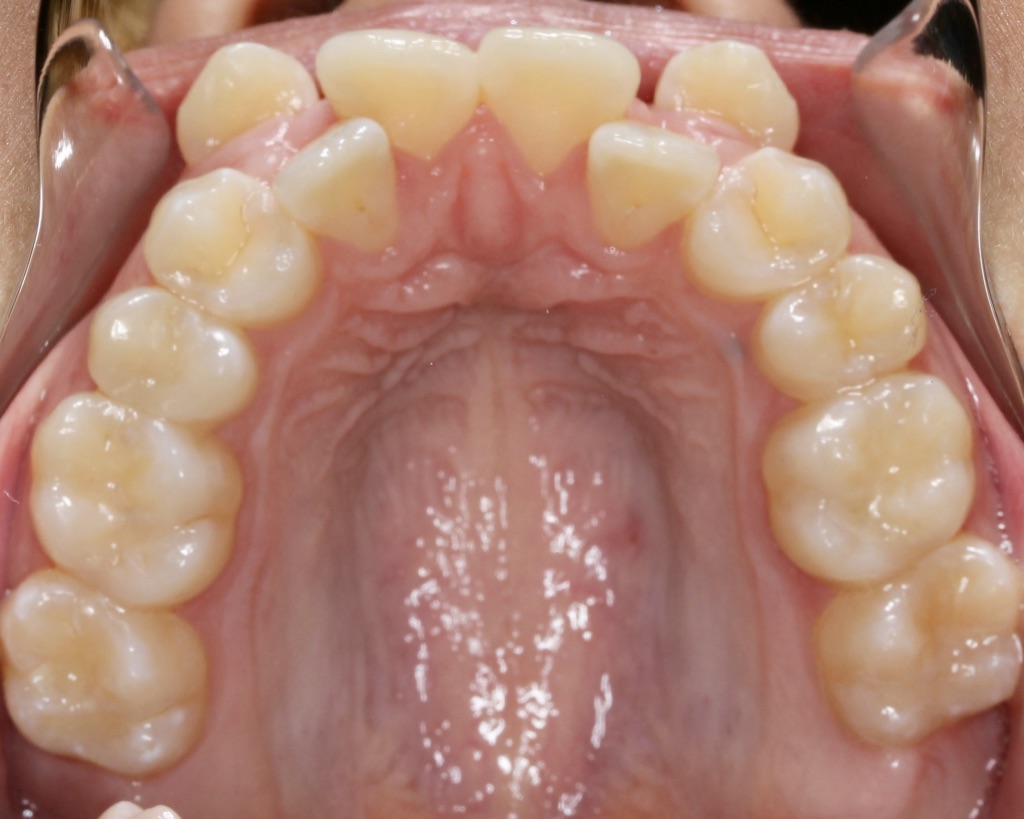
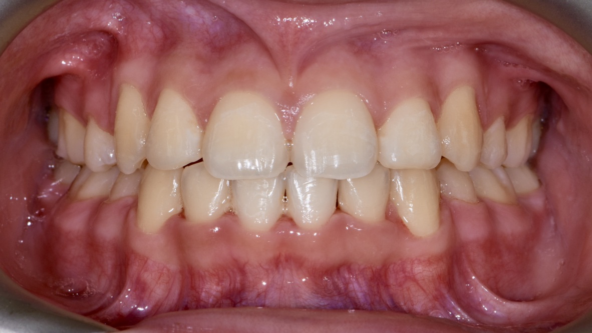
After
After

Class I – Crowded w/Crossbite. Extractions. Expansion & Braces.

Slide
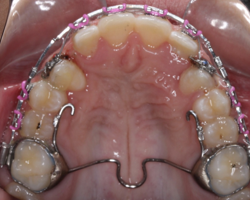
Before
Before
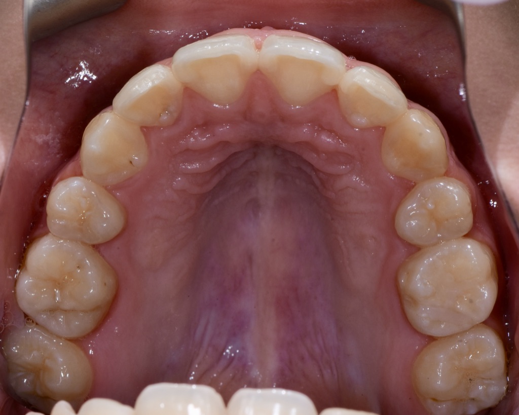
After
After

Class I – Missing Teeth. Spacing. Close Space. Braces. Upper Canine Substitution.

Slide
Before
Before
After
After

Class I – Open Bite. Non-Extraction. Braces.

Slide
Before
Before
After
After

Class II – Spacing. Non-Extraction. Braces.

Slide
Before
Before
After
After

Class I – Open Bite w/Protrusion. Extractions. Braces.

Slide
Before
Before
After
After

Class I – Crowded. Extractions. Braces.

Slide
Before
Before
After
After

Class I – Ectopic Upper Canines. Exposure. Braces.

Slide
Before
Before
After
After

Class I – Spacing. Non-Extraction. Braces. Restorative Dentistry Completion.

Slide
Before
Before
After
After

Class II. Non-Extraction. Carrier Appliance & Elastics. Braces.

Slide
Before
Before
After
After

Class I – Crowded. Extractions. Braces.

Slide
Before
Before
After
After

Class I – Ectopic Permanent Canine Teeth. Extraction Baby Canine Teeth.  Braces.

Slide
Before
Before
After
After

Class II – Protrusion. Extractions. Braces.